Loading...
Loading...
Loading...
Mon - Sat: Morning 10:00 AM - 1:30 PM | Evening 4:30 PM - 8:30 PM | Sunday: By Appointment

Chintanprajapati151@gmail.com

+91 9662343589

WhatsApp

Teeth Cleaning

Home Teeth Cleaning
Professional & Gentle Dental Care

Teeth Cleaning - Keep Your Smile Bright & Healthy

Preventive Care for Stronger, Cleaner Teeth

Regular teeth cleaning is essential for maintaining oral health, preventing cavities, and reducing the risk of gum disease. Our clinic provides professional dental cleaning to remove plaque, tartar, and stains, ensuring a healthier smile.

Why Choose Professional Teeth Cleaning?

  • Removes plaque & tartar buildup
  • Prevents gum disease & tooth decay
  • Eliminates bad breath
  • Brightens your smile by removing stains
  • Promotes overall oral health

The Teeth Cleaning Process

  1. Initial Examination – Checking for cavities, gum issues, and oral health concerns.
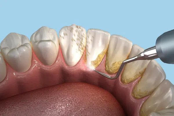
  2. Scaling & Plaque Removal – Removing tartar buildup using specialized dental tools.
  3. Polishing & Stain Removal – Smoothing tooth surfaces for a brighter smile.
  4. Fluoride Treatment – Strengthening enamel to protect against cavities.
  5. Oral Hygiene Guidance – Tips to maintain a cleaner, healthier smile at home.
Teeth Cleaning Procedure
Plaque Removal Process
Polishing and Fluoride Treatment

Get In Touch

FF-10; VISWAS CITY 5 ; 6; SATYAMEV VISTA ROAD, Opposite VISWAS CITY, Gota, Ahmedabad, Gujarat 382481

Chintanprajapati151@gmail.com

+91 9662343589

Follow Us

© BHAGWATI Dental Clinic. All Rights Reserved.

Designed by shlokatechnologies